+385 51 212 788
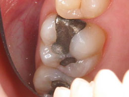
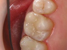
Le otturazioni


Facciamo solo otturazioni bianche fatte di migliori materiali. I compositi dentari moderni si attaccano bene ai denti e allora non è necessaria arrotatura estesa cioe basta soltanto rimuovere la carie dal dente. Una volta levata la carie vengono messe le otturazioni dentarie che soddisfano tutti i criteri estetici. Le otturazioni sono dure e resistenti, sono di lunga durata e non cambiano ne il colore ne la forma.
Nei casi di carie profonda è necessario curare la radice dentaria cioe pulire i canali dentari il che viene fatto con gli strumenti speciali. Una volta puliti e curati vengono riempiti usando uno dei mezzi per il riempimento.